Veneers in Springtown, Texas – Transforming Springtown Smiles
Cosmetic Enhancement, Natural-Looking Results, and Personalized Care for Your Perfect Smile
Veneers in Springtown, Texas – Transforming Springtown Smiles
Cosmetic Enhancement, Natural-Looking Results, and Personalized Care for Your Perfect Smile
Veneers in Springtown, Texas – Enhance Your Smile with Stunning Results
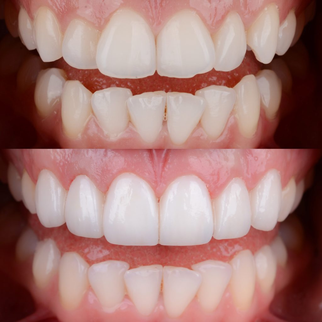
Are you dreaming of a flawless, radiant smile? If so, veneers offer an incredible way to transform your teeth and boost your confidence. At Ballard Family Dentistry in Springtown, TX, we proudly offer two exceptional options tailored to your needs and lifestyle—porcelain veneers and prepless veneers. Whether you’re looking for a complete smile makeover or a subtle enhancement, our dental team is here to bring your vision to life.
What Are Veneers?
Veneers are ultra-thin, custom-designed shells that bond seamlessly to the front surface of your teeth. In fact, they also mask imperfections like discoloration, chips, gaps, or uneven teeth, creating a stunning and natural-looking smile. To help you achieve your perfect smile, we offer two distinct options:
- Porcelain Veneers for durable, long-lasting results.
- Minimal Prep Veneers for a painless, non-invasive transformation.
Which Option Is Right for You?
Deciding between porcelain veneers and minimal prep veneers depends on your goals, preferences, and dental needs. Porcelain veneers are ideal for those seeking dramatic, long-lasting results, while minimal prep veneers are perfect for patients wanting a reversible and minimally invasive option.
Benefits of Porcelain Veneers
Porcelain veneers are the go-to cosmetic dentistry solution for celebrities and anyone seeking a picture-perfect smile. These semi-translucent shells are crafted from durable porcelain, a material chosen for its natural appearance, strength, and resistance to stains.
- Unmatched Aesthetics: Porcelain mimics the light-reflecting properties of natural teeth for a lifelike appearance.
- Durability: Designed to last for many years with proper care.
- Stain Resistance: Keeps your smile bright without frequent whitening treatments.
- Fast Results: Achieve a transformed smile in as little as two appointments.
- Permanent: Because enamel is removed, the procedure is irreversible.
Benefits of Minimal Prep Veneers
Minimal prep or “chair-side” veneers are a highly effective, non-invasive smile enhancement option for many of our patients considering cosmetic dentistry. Patients who are seeking a more conservative approach, minimal prep veneers are an excellent choice.
These ultra-thin veneers require very little prep, no down-time, making the process is painless and reversible.
- Comfort and Convenience: Non-invasive and pain-free.
- Natural Results: Ultra-thin veneers seamlessly blend with your smile.
- Low Maintenance: Easy to care for with regular brushing and flossing.
- Reversible: Since minimal enamel is removed, the procedure is often considered reversible.
Transform Your Smile at Ballard Family Dentistry
At Ballard Family Dentistry, we combine artistry and advanced technology to deliver exceptional cosmetic dentistry results. Our team is committed to helping you feel confident in your smile and will guide you through every step of the process.
So, why wait to achieve the smile you’ve always wanted? Call us today at 817-752-3938 to schedule your consultation and explore your veneer options. Discover how porcelain veneers or minimal prep veneers can create a radiant, confident, and picture-perfect smile you’ll love to share!
MEET OUR DENTISTS
From our Founders to our Associates, every Dentist on our team is here to help you achieve a healthy smile you are proud of.
READ OUR REVIEWS
With over 200 Google Reviews with an almost perfect 5-star rating, there’s a reason why patients choose our team in Springtown for their dental home.
TREATMENTS WE PROVIDE
Six Locations To Serve You
Our dental family extends from Tarrant County to Johnson County, both Parker and Wise County as well as Northlake and Argyle. Our goal is to make your dental experience both painless, stress free and convenient.
Ballard Family Dentistry - Benbrook
Connect with our Benbrook office.
(817) 900-6030
9017 Vista Way
Benbrook, TX
Visit online at dentistbenbrooktx.com
Ballard Family Dentistry - Boyd
Connect with our Boyd office today.
(940) 433-8545
400 W Rock Island Ave
Boyd, TX
Visit online at dentistboydtx.com
Ballard Family Dentistry - Burleson
Connect with our Burleson office.
(817) 295-2031
2701 SW Wilshire Blvd.
Burleson, TX
Visit online at dentistburlesontx.com
Ballard Family Dentistry - Springtown
Connect with our Springtown office.
(817) 752-3938
917 E. Hwy 199
Springtown, TX
Visit online at dentistspringtown.com
Ballard Family Dentistry - Saginaw
Connect with our Saginaw office.
(817) 367-6453
701 W. Bailey Boswell Rd.
Saginaw, TX
Visit online at doctorballard.com
Mansell Family Dentistry & Orthodontics
Connect with our Northlake office.
(940) 648-3384
8101 Thompson Rd.
Northlake, TX
Visit online at northlaketxdentist.com
